Fotó
Nemzeti Fotótár
Megállítjuk az időt

Tudomány - Debrecen - Gyógyszerfejlesztés

Debrecen, 2017. január 17.

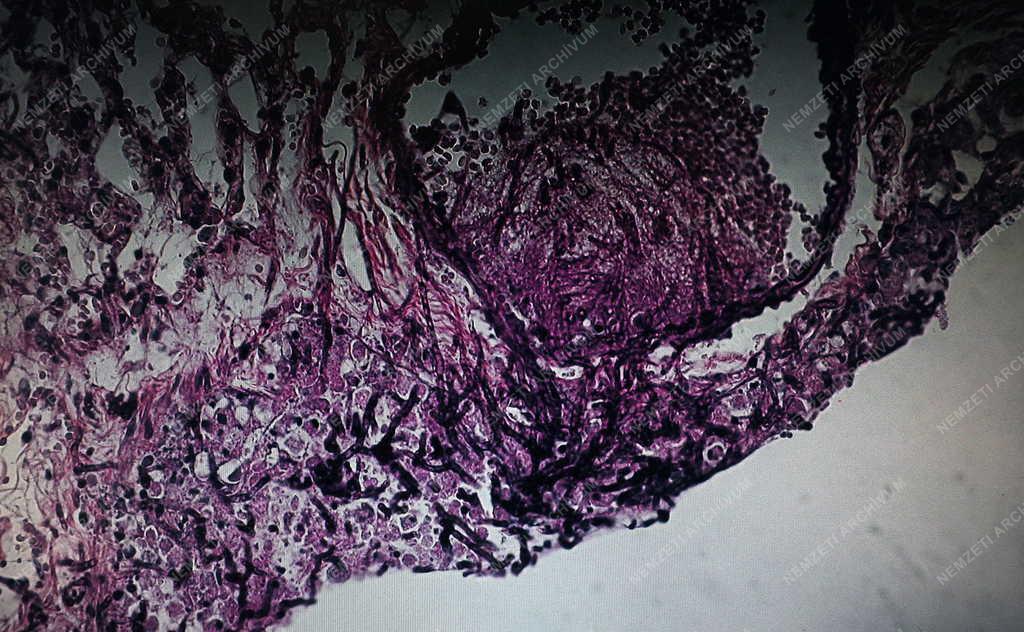
Patogén gombafonalak egy állatkísérletből származó tüdőszövetben. A Debreceni Egyetem Biotechnológiai és Mikrobiológiai Tanszékén sikeres kísérleteket végeznek a PAF /Penicillum chrysogenum/ gomba által termelt gombaellenes fehérjével. A sikeres állatkísérletek után 4-5 év múlva készülhet olyan hatóanyag, gyógyszer, ami segít a legyengült, immunhiányos emberi szervezet megóvásában.

Készítette: Oláh Tibor
Tulajdonos: Oláh Tibor
Fájlnév: BD__OB201701170012
Láthatóság: publikus
Kiadás dátuma: 2017-01-20
Forrás: Nemzeti Archívum/Fókuszban Magyarország Program

Technikai adatok:

Bitmélység: 8
Tájolás: horizontal
Szélesség (px): 2568
Magasság (px): 1584
Forrás típusa: JPG
Azonosító: a660dd82-583f-46b1-bda0-50fb3747fbb6




Tisztelt Felhasználónk! Ez a fénykép nem képezi a Nemzeti Archívum szerves részét. A kép tartalmáért és a szövegért a fotó készítője vállalja a felelősséget.

2 500 HUF
15 000 HUF
  • Üzleti célú felhasználás egyes esetei
  • Sajtó célú felhasználás
  • Kiállítás
2 500 HUF

Választható papírok: Bővebben

Választható méretek:

4 937 HUF
4 429 HUF
4 937 HUF
4 429 HUF

Összesen:

Kosárba

Legyen a szerkesztőnk!
Ha több információt tud a képről, mint az eredeti képszöveg, ossza meg velünk!

Max. 1000 karakter

Bejelentkezés szükséges!


Hasonló képek: